QUELQUES RÉSULTATS

Voici quelques avant / après de nos patients

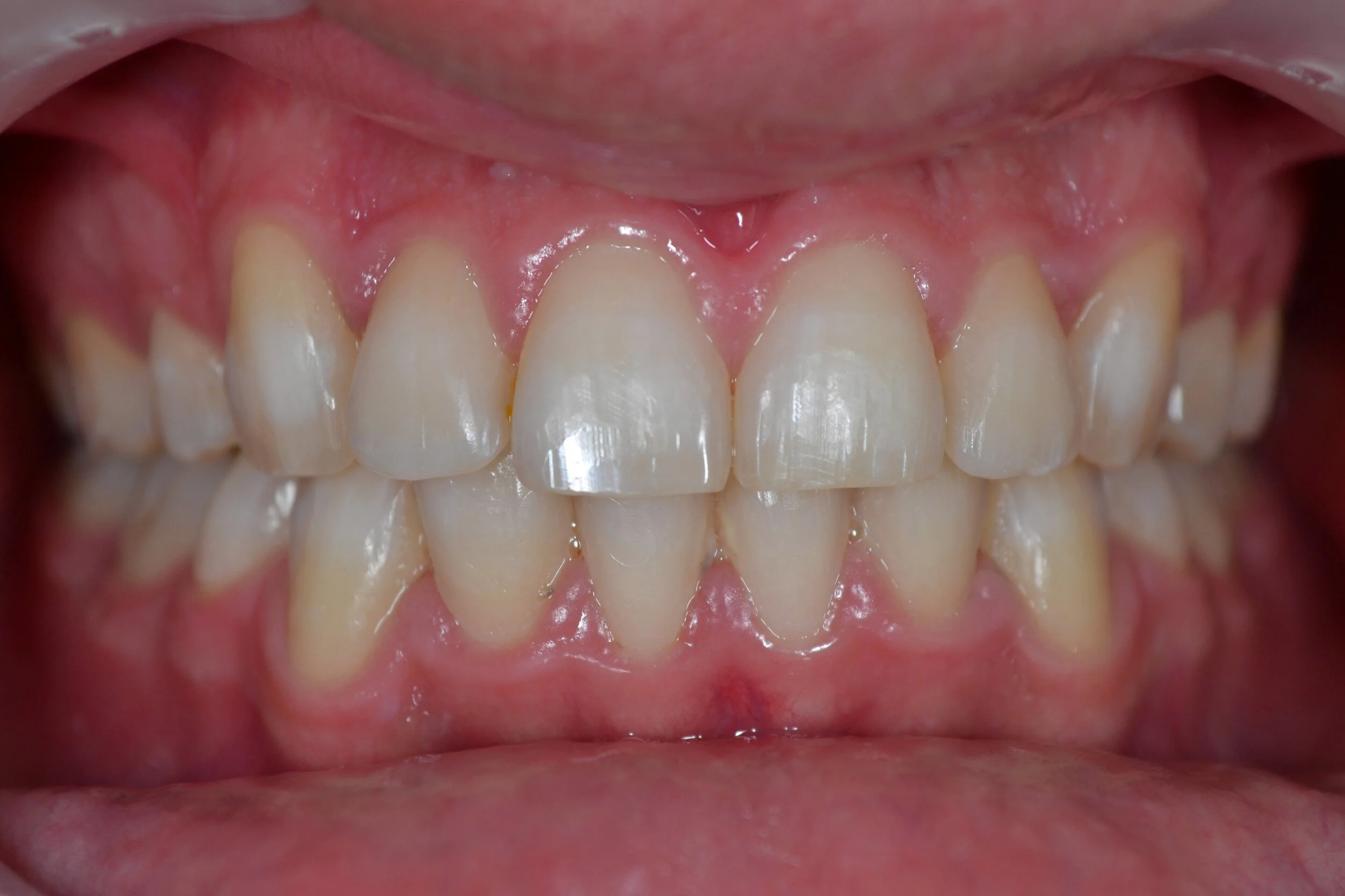
Julien

hugo debut.jpg
hugo fin.jpg

Lilly

Margaux 10 ans debut.jpg
Margaux 10 ans fin.jpg

Léa

sandy debut.jpg
sandy fin.jpg

Julia

CARLA FIN .png

Clara

sebastien debut.jpg
sebastien fin.jpg

Nassim

lahcen avant .jpg
lahcen apres.png

Léon

michelin debut.jpg
michelin fin.jpg