NOS TRAITEMENTS

Enfants

Orthodontie_de_l_39_enfant_-_traitements_possibles-732x488.png

L’orthodontie est possible chez l’enfant dès l’âge de 4 ans en fonction du décalage des mâchoires que l’on peut observer.

Ces traitements font souvent appel à des appareils amovibles ou fixes sans forcément avoir des « bagues » sur toutes les dents.

Ce sont des traitements d’interception dont les objectifs peuvent être :

- Agir sur les fonctions (ventilation, mastication, déglutition)

- Agir sur la croissance des mâchoires

- Corriger les malpositions dentaires

- Supprimer certaines mauvaises habitudes telles que la succion du pouce ou la tétine.

 
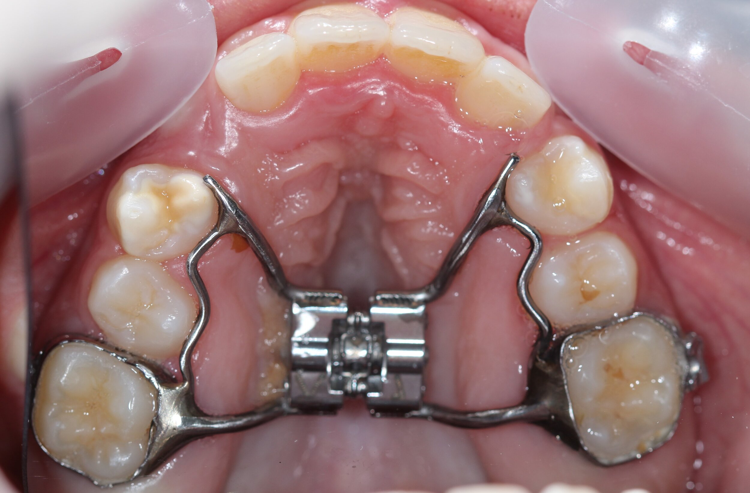
Disjoncteur : Il sert à élargir et faire grandir le palais lorsque celui-ci est trop étroit. C’est un appareil qui est fixe et qui s’active au niveau de son vérin par une clé par les parents. Il agit au niveau de la suture palatine. Voir la vidéo

Disjoncteur :

Il sert à élargir et faire grandir le palais lorsque celui-ci est trop étroit. C’est un appareil qui est fixe et qui s’active au niveau de son vérin par une clé par les parents. Il agit au niveau de la suture palatine.

Voir la vidéo

 
Éducateur fonctionnel :Il s’agit d’une gouttière souple amovible en silicone qui permet de guider la croissance des mâchoires, d’arrêter les para fonctions (succion pouce) et de rétablir la normalité des fonctions (rééduquer la position des lèvres, de la langue , permettre une ventilation nasale…).Cet appareil doit être porté de façon active avec des exercices de rééducation fonctionnelle (des séries d’inspiration-expiration et de déglutition). Il doit être porté quelques heures le jour ET la nuit pour la réussite du traitement.Voir la vidéo

Éducateur fonctionnel :

Il s’agit d’une gouttière souple amovible en silicone qui permet de guider la croissance des mâchoires, d’arrêter les para fonctions (succion pouce) et de rétablir la normalité des fonctions (rééduquer la position des lèvres, de la langue , permettre une ventilation nasale…).

Cet appareil doit être porté de façon active avec des exercices de rééducation fonctionnelle (des séries d’inspiration-expiration et de déglutition). Il doit être porté quelques heures le jour ET la nuit pour la réussite du traitement.

Voir la vidéo

Quad hélix :Le quad hélix est un appareil qui permet d’élargir l’arcade maxillaire. C’est un appareil orthodontique fixe qui agit au niveau des dents. Cet appareil est activé à par l’orthodontiste. Voir la vidéo

Quad hélix :

Le quad hélix est un appareil qui permet d’élargir l’arcade maxillaire. C’est un appareil orthodontique fixe qui agit au niveau des dents. Cet appareil est activé à par l’orthodontiste.

Voir la vidéo

 
Plaque palatine :Il s’agit d’une plaque en résine (faux palais). Elle peut permettre la suppression des parafonctions (succion digitale, tétine), la correction des dysfonctions (rééducation de la position linguale) , expansion maxillaire par association à un vérin , correction des «dents en avant » par association à un bandeau vestibulaire…Voir la vidéo

Plaque palatine :

Il s’agit d’une plaque en résine (faux palais). Elle peut permettre la suppression des parafonctions (succion digitale, tétine), la correction des dysfonctions (rééducation de la position linguale) , expansion maxillaire par association à un vérin , correction des «dents en avant » par association à un bandeau vestibulaire…

Voir la vidéo

 

Masque de Delaire, activateurs de croissance et Force extra orales :

Ces appareils amovibles ont pour but de corriger le décalage squelettique chez l’enfant.

Adolescents

orthodontie ado.jpg

Chez l’adolescent le traitement se fait le plus souvent entre 12 ans et 16 ans lorsque toutes les dents permanentes ont fait leur éruption. En général le traitement chez les adolescents se fait avec des brackets, plus communément appelés « bagues » et agit essentiellement sur les dents et non plus sur les bases osseuses.

Certains traitements peuvent nécessiter le recours à une chirurgie orthognatique en cas de décalage important des mâchoires.

Différentes techniques existent pour réaligner les dents et corriger les malocclusions.

 

Les principaux appareils posés chez l’adolescent :

Le traitement multi-attaches vestibulaires

Le traitement « par multi-attaches vestibulaire » est plus connu sous le nom de « bagues ».

Des brackets métalliques ou céramiques sont collés sur la face visible des dents et l’orthodontiste insère un arc (fil) dans le but de déplacer les dents. Les arcs sont ensuite changés ou modifiés à chaque RDV par l’orthodontiste.

Voir la vidéo

 
aligneur ado.jpg

Le traitement par Gouttières ou « aligneurs transparents » 

Il s’agit de gouttières transparentes, discrètes et amovibles qui permettent comme les brackets d’aligner les dents et de corriger les malocclusions.

Voir la vidéo

Adultes

adulte multibagues ceram.jpg

Les traitements chez l’adulte (après 16 ans) sont possibles sans limite d’âge.

Outre l’amélioration esthétique résultant de l’alignement dentaire, l’orthodontie chez l’adulte permet d’améliorer la santé dentaire dans sa globalité.

En effet, l’alignement obtenu aide à rétablir une bonne hygiène bucco-dentaire et limite ainsi la formation de tartre et de caries.

Comme chez les adolescents, si les adultes présentent des décalages squelettiques importants, les traitements peuvent faire appel à la chirurgie orthognatique

 
orthodontie linguale 2.jpg

Traitement lingual

Il s’agit de brackets (bagues) collés à l’intérieur de vos dents. C’est la seule technique orthodontique complétement invisible.

Voir la vidéo

aligneurs adulte 1.jpg

Gouttières ou aligneurs transparents

Il s’agit de gouttières transparentes, discrètes et amovibles qui permettent comme les brackets d’aligner les dents et de corriger les malocclusions.

Voir la vidéo

Aligneurs VS  brackets métalliques chez l’adulte

Aligneurs VS brackets métalliques chez l’adulte

 

Le traitement multi-attaches vestibulaires

Le traitement « par multi-attaches vestibulaire » est plus connu sous le nom de « bagues ».

Des brackets métalliques ou céramiques sont collés sur la face visible des dents et l’orthodontiste insère un arc (fil) dans le but de déplacer les dents. Les arcs sont ensuite changés ou modifiés à chaque RDV par l’orthodontiste.

Les brackets céramiques sont transparents et donc plus discrets que les brackets métalliques.

Voir la vidéo